
Teeth Cleaning vs. Whitening — What’s Right for You?
A bright, confident smile never goes unnoticed — but do you really know the difference between teeth cleaning (scaling and polishing) and teeth whitening? At

A bright, confident smile never goes unnoticed — but do you really know the difference between teeth cleaning (scaling and polishing) and teeth whitening? At

When it comes to dental pain, many people wait until it becomes unbearable before visiting a dentist. But did you know that getting a root

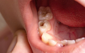
Dental Caries is an infectious disease caused by microorganisms or bacteria which destroy the tooth structure leading to holes in the teeth. Dental caries, also

Thinking about dental tourism in India? You’re not alone! India is quickly becoming a popular destination for those seeking affordable, high-quality dental care. If you’re

Save Your Natural Tooth Comfortably with Modern Rotary RCT TechnologyTooth pain can be one of the most unbearable types of discomfort — and often, it

A beautiful smile is something that everyone desires. Straight and properly aligned teeth not only enhance your appearance but also contribute to overall dental health.