
Pit and Fissure Sealants: Overview
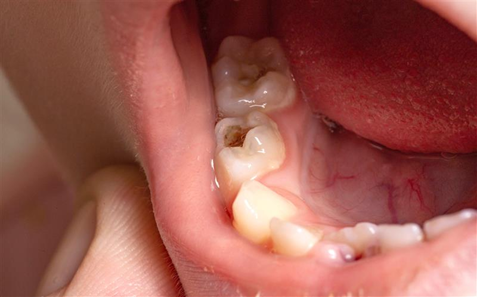
Pit and fissure sealants are a simple way to protect teeth from cavities. These dental sealants for children and adults cover the grooves on chewing

Pit and fissure sealants are a simple way to protect teeth from cavities. These dental sealants for children and adults cover the grooves on chewing

Introduction Many people brush their teeth right after eating. However, experts warn that this habit may not protect your teeth. In fact, brushing too soon

What Is Stress-Related Teeth Grinding? Stress-related teeth grinding, also called bruxism, happens when you clench or grind your teeth. Often, this occurs during sleep. Many

Introduction: What Is the Oral Microbiome and Why Does Balance Matter? Your mouth is home to many tiny living things called microbes. These include bacteria,

Here’s What You Need to Know Dental implants are one of the most reliable and long-lasting solutions for missing teeth. But a common concern many

If you want a dental routine that’s effective, affordable, and easy to stick to, here are the habits that made the biggest difference to me.

Most people don’t think twice about how they breathe—but mouth breathing can have serious effects on your oral and overall health. While it may seem

This is the most common concern—and the answer is NO.Modern techniques ensure that tooth extraction is virtually painless.At Arsh Dental Care:Local anesthesia is used to

Do you feel nervous or anxious before visiting a dentist? You’re not alone. Dental fear is extremely common among both adults and children—and it often

Most people visit a dentist only when they feel pain—but by then, the problem is often serious and expensive to treat.At Arsh Dental Care, Chandkheda,

Finding the best dentist in Chandkheda can feel overwhelming, especially with so many options available. Whether you need a simple dental check-up, tooth filling, or

A toothache may seem like a small problem—especially when the pain disappears on its own. But did you know that ignoring a toothache can lead

What is Halitosis? Halitosis, also known as bad breath, is a common problem. It means your breath smells unpleasant. Many people feel embarrassed by it.

Braces are a significant investment in your dental health and a crucial step towards achieving a beautiful, straight smile. Taking proper care of your braces

Visiting the dentist can be stressful for many people. Whether it’s the fear of pain, anxiety about procedures, or uncertainty about what to expect, it’s

What to Expect During Your First Dental Visit in Chandkheda(Serving patients from Chandkheda, New CG Road, Sneh Plaza Road, Motera, Visat & Tragad) What to

Finding the best dentist near New CG Road can feel confusing, especially with so many dental clinics claiming to offer the best treatment. Your oral

Introduction Gum inflammation and bleeding gums are common dental problems. Many people notice bleeding when they brush or floss. Often, this is a sign of

Dentures are a popular and effective solution for people who have lost their natural teeth. They are removable prosthetic devices that are designed to replace

Dental tourism in India is on the rise, attracting people worldwide with its promise of top-notch dental care at a fraction of the cost compared

In the world of modern dentistry, dental implants have brought a remarkable solution for people who want to restore their smiles, regain confidence, and improve

Teeth cleaning is a cornerstone of oral hygiene, yet many people have questions about the process. This article addresses frequently asked questions about teeth cleaning,

Many patients feel anxious before a tooth extraction and often ask an alarming question: “Can tooth extraction cause eyesight loss?”The short and clear answer is

This is one of the most common statements dentists hear. Many people delay dental treatment because: Pain is mild or intermittent Busy schedule Fear of

One of the most common questions patients ask is:“Doctor, will root canal treatment be painful?” The fear around root canal treatment mostly comes from old

✔ Dental Consultation & Check-upConsultation charges usually start from ₹200–₹300, which includes a complete oral examination and treatment planning.✔ Teeth Cleaning & PolishingProfessional scaling and

Tooth pain, sensitivity, or swelling should never be ignored. If you are searching for root canal treatment in Chandkheda, Arsh Dental Care provides advanced, painless

Why Oral Health Matters More Than You ThinkYour smile is one of your most valuable assets — it affects how you look, feel, and even

What Are Dentures? Dentures are removable devices that replace missing teeth. They help people eat, speak, and smile with confidence. Many people lose teeth due

Are you tired of the gaps in your smile that make you self-conscious? Imagine a world where you can confidently flaunt a complete, dazzling smile

Dental crowns are tooth-shaped caps that are placed over damaged or decayed teeth to restore their shape, size, and strength. If your dentist recommends a

A complete, confident smile is something we all desire. But what happens when you lose a tooth or two due to injury, decay, or other

Many patients get worried when they notice a small gap between their teeth after a dental cleaning. If you’ve recently visited Arsh Dental Care for

Dental pain doesn’t just come from cavities or infections—your daily habits, diet, and oral hygiene routine play a huge role in keeping your teeth pain-free.🦷

Introduction TMJ disorders, also called jaw joint problems, affect the temporomandibular joint. This joint connects your jaw to your skull. Many people experience TMJ pain

Gum or periodontal disease is an inflammatory condition affecting the gums and bone surrounding your teeth. If left untreated, it can destroy your gum tissue

A bright, confident smile never goes unnoticed — but do you really know the difference between teeth cleaning (scaling and polishing) and teeth whitening? At

Introduction: Why a Knocked Out Tooth Is an Emergency If you have a knocked out tooth, you need to act fast. Dentists call this a

Many people visit the dentist only when they feel pain — but by then, it’s often too late to avoid expensive or complex treatment.At Arsh

Imagine the joy of confidently flashing a radiant smile, free from gaps or missing teeth. For those who have experienced tooth loss, fixed partial dentures,

A bright, confident smile never goes unnoticed — but do you really know the difference between teeth cleaning (scaling and polishing) and teeth whitening? At

When it comes to dental pain, many people wait until it becomes unbearable before visiting a dentist. But did you know that getting a root

Dental Caries is an infectious disease caused by microorganisms or bacteria which destroy the tooth structure leading to holes in the teeth. Dental caries, also

Thinking about dental tourism in India? You’re not alone! India is quickly becoming a popular destination for those seeking affordable, high-quality dental care. If you’re

Save Your Natural Tooth Comfortably with Modern Rotary RCT TechnologyTooth pain can be one of the most unbearable types of discomfort — and often, it

A beautiful smile is something that everyone desires. Straight and properly aligned teeth not only enhance your appearance but also contribute to overall dental health.

Invisible aligners are a type of orthodontic treatment used to teeth straightening. They are a series of clear, removable aligners custom-made to fit your teeth.

IntroductionWhen it comes to dental crowns, patients often look for strength, durability, and a natural look. Among the latest innovations in restorative dentistry, DMLS crowns

A smile is the first thing people notice about you. But for some, showing too much gum tissue while smiling—known as a gummy smile—can create

Dental veneers offer a remarkable way to enhance your smile, but questions often arise. In this guide, we provide expert insights to address the most

Losing teeth can be a stressful experience. Whether caused by decay, gum disease, injury, or aging, missing teeth affect more than just your appearance. They

Dental veneers are a transformative solution that can help you achieve the smile you’ve always dreamed of. This comprehensive guide explores the ins and outs

Zirconia crowns are becoming a popular choice in dental care thanks to their impressive strength, durability, and natural look. Made from a special material called

Q1: What is TMJ? A1: Temporomandibular joint (TMJ) is the joint that connects your jawbone to your skull. TMJ can also refer to temporomandibular joint

Many people think losing just one tooth is “no big deal,” especially if it’s not in the front of the mouth. But the truth is,

Most people assume wisdom teeth are only a problem if they hurt. But the truth is, an impacted wisdom tooth (a tooth that doesn’t have

Curious about transforming your smile? Here are answers to some common questions about smile correction, helping you navigate the exciting journey toward a confident and

When it comes to dental crowns, zirconia crowns are making waves for their impressive strength and natural appearance. But what exactly are they, and why

When dental issues escalate and become severe, root canal treatment often gets recommended. This dental procedure, while initially daunting to some, offers significant benefits. In

Wisdom tooth extraction, a standard dental procedure many undergo during their late teens or early twenties. As these third molars often cause discomfort and various

Bad breath, also known as halitosis, can be caused by a variety of factors. While poor oral hygiene is a common cause, there are other

Understanding Tooth Sensitivity from Arsh Dental Care, ChandkhedaHave you ever felt a sudden jolt of pain in your teeth when sipping cold water or enjoying

Myth 1: TMJ only affects older adults. Fact: TMJ can affect individuals of all ages, including children, teenagers, and adults. Age is not a determining

From Arsh Dental Care, Chandkheda – Where Your Smile is Our PriorityMost people assume that if there’s no pain, there’s no problem—but that’s a dangerous

Oral cancer surgery stands as a vital component of the treatment arsenal, offering precision and tangible results in the battle against this aggressive disease. Understanding

Laser dentistry has transformed the dental landscape, offering precise, comfortable, and efficient treatments. If you’re curious about this advanced approach, here are answers to frequently

When faced with the diagnosis of oral cancer, exploring treatment options becomes a critical step towards ensuring the best possible outcome. Among the various treatments

Facial injuries resulting from accidents, sports impacts, and various incidents can lead to maxillofacial trauma, requiring specialized care and surgical intervention. Maxillofacial surgery plays a

Here’s What You Need to KnowFind out why wisdom teeth are often removed even if they’re not causing pain. Learn about common issues like impaction,

When people lose a tooth, especially one that’s not visible when they smile, they often think:“It’s just one tooth. I’ll manage.”But what many don’t realize

Maxillofacial surgery, often associated with enhancing facial aesthetics, offers a realm of functional advantages that extend far beyond mere appearances. While the cosmetic aspect is

7 Brushing Mistakes That May Be Damaging Your Smile 7 Tooth Brushing Mistakes You Must AvoidThink you’re brushing your teeth correctly? Learn the 7 most

Available at Arsh Dental Care, ChandkhedaDo you dream of having a confident, picture-perfect smile? Thanks to modern dentistry, transforming your smile is easier and more

When it comes to achieving a stunning smile, many people think about straight, white teeth. While that’s undoubtedly important, the health and appearance of your

Starting your orthodontic journey can be a daunting thought. With so many options and various types of braces available, you may feel overwhelmed. However, one

Teeth bleaching, commonly known as teeth whitening, is one of the most popular cosmetic dental treatments available today. It’s a quick and effective way to

Early Dental Care for Lifelong Healthy SmilesMany parents think baby teeth don’t matter because they eventually fall out. But did you know that early dental

Your mouth often gives subtle hints when something isn’t right—but many people ignore the early signs of dental issues until they become painful or even

Maintaining proper oral hygiene is vital for overall well-being, and a key component of this is regular teeth cleaning. This article delves into the importance

A dental crown is a tooth-shaped cap that is placed over a damaged or decayed tooth to restore its shape, size, and strength. It is

Dental bridges are a type of dental restoration used to replace one or more missing teeth. They are typically made up of one or more

Do you find yourself hiding your smile because of misaligned or crooked teeth? Metal braces may be the answer you have been looking for. Not

Dental tourism in India has gained popularity due to its affordability and quality. Patients from around the world are drawn to India’s advanced dental care

Dental caries, commonly known as tooth decay or cavities, is a prevalent oral health issue affecting people of all ages. It occurs when bacteria in

A dental procedure to repair and save a tooth that is infected or badly decayed. During a root canal procedure, the dentist removes the infected

Why are Dentures Used? Dentures are used to replace missing teeth and restore your smile and ability to eat and speak properly. They provide support